Στοματική φροντίδα για τους γονείς
Απαντήσεις στους γονείς για θέματα υγείας δοντιών και στόματος
Tι είναι η Παιδοδοντιατρική;
Η Παιδοδοντιατρική είναι η ειδικότητα που επικεντρώνεται στη στοματική υγεία και στις ιδιαίτερες ανάγκες των νεαρών ασθενών. Ο παιδοδοντίατρος είναι ειδικά εκπαιδευμένος να αντιμετωπίζει τις ανάγκες και τα στοματικά προβλήματα των παιδιών, των εφήβων και των παιδιών με ειδικές ανάγκες ή με βεβαρημένο ιατρικό ιστορικό (π.χ. διαβήτη, καρδιοπάθειες, επιληψία, κλπ) όπως αντίστοιχα ο παιδίατρος αντιμετωπίζει τις ιατρικές ανάγκες.
Χάρη στην ειδική εκπαίδευση τους οι παιδοδοντίατροι είναι οι πιο κατάλληλοι για να χειριστούν ολοκληρωμένα την οδοντιατρική περίθαλψη από τη γέννηση του παιδιού μέχρι το τέλος της εφηβείας (18 ετών). Επίσης οι παιδοδοντίατροι κατευθύνουν το παιδί σε άλλους ειδικούς αν χρειάζεται (π.χ. στον ορθοδοντικό).
Ο ρόλος των γονέων είναι αποφασιστικός.
Οι γονείς θα βοηθήσουν το παιδί να εφαρμόσει το εξατομικευμένο πρόγραμμα στοματικής φροντίδας που θα σχεδιάσει ο παιδοδοντίατρος. Θα εμφυσήσουν επίσης, στο παιδί τους την αίσθηση ότι η φροντίδα του στόματος μας είναι σημαντική και η καθημερινή φροντίδα του απαραίτητη.
Γιατί είναι σημαντικά τα παιδικά δόντια;
- Eίναι απαραίτητα για τη μάσηση της τροφής.
- Δόντια χαλασμένα επηρεάζουν τη γενική υγεία και τη διάθεση του παιδιού, προκαλώντας πόνο και, μερικές φορές, πυρετό. Παιδιά με αποστήματα παρουσιάζουν συχνά μικρότερο βάρος από το κανονικό.
- Τα δόντια είναι απαραίτητα για τη σωστή ανάπτυξη της ομιλίας.
- Τα παιδικά δόντια διατηρούν τους χώρους πού θα χρειαστούν τα μόνιμα δόντια και καθοδηγούν την ανατολή τους
- Συμβάλλουν στη σωστή ανάπτυξη των γνάθων
- Γερά παιδικά δόντια δίνουν ένα όμορφο χαμόγελο στο παιδί και το βοηθούν στην εικόνα πού έχει για τον εαυτό του.
Eπανέλεγχοι
Πόσο συχνά πρέπει να γίνεται στοματικός έλεγχος;
Η Ευρωπαϊκή και η Αμερικανική Ακαδημία Παιδοδοντιατρικής συνιστούν ένα οδοντιατρικό έλεγχο τουλάχιστον 2 φορές το χρόνο, δηλαδή κάθε εξάμηνο. Μερικά παιδιά χρειάζονται συχνότερους ελέγχους λόγω κακής στοματικής υγιεινής, αυξημένου κινδύνου για τερηδόνα, υποπλασίας αδαμαντίνης ή μη ομαλής ανάπτυξης των γνάθων.
Γιατί να γίνεται επίσκεψη στον οδοντίατρο τόσο συχνά αν δεν υπάρχει πρόβλημα;
Οι τακτικές επισκέψεις βοηθούν ώστε τα παιδιά να μην αντιμετωπίζουν προβλήματα με την τερηδόνα και την ουλίτιδα. Δεν είναι όμως μόνο αυτό. Στους επανελέγχους ο παιδοδοντίατρος θα καθαρίσει τα δόντια από μικροβιακή πλάκα και «πέτρα». Θα γίνει φθορίωση και υπενθύμιση στον ασθενή του σωστού τρόπου βουρτσίσματος και χρήσης οδοντικού νήματος. Ακόμη, γίνεται διαρκής αξιολόγηση της ορθοδοντικής κατάστασης του παιδιού.
Προληπτικές καλύψεις οπών & σχισμών (sealants)
Πρόκειται για την προφύλαξη των μονίμων (ή και των νεογιλών) γομφίων με την προσθήκη μιας ρευστής ρητίνης. Αυτή η κάλυψη προστατεύει τις μασητικές επιφάνειες των πίσω δοντιών καθώς εισχωρεί στις πολύ μικρές και βαθιές αύλακες των δοντιών. Ακόμη και μία τρίχα της οδοντόβουρτσας είναι μεγαλύτερη σε πάχος από τις αύλακες αυτές και δεν μπορεί να τις καθαρίσει. Η τοποθέτηση των προστατευτικών καλύψεων (sealants) είναι σχετικά γρήγορη και τελείως ανώδυνη και ακίνδυνη. Το υλικό που χρησιμοποιείται είναι παρόμοιο με αυτό των λευκών σφραγισμάτων.
Πόσο διαρκούν τα sealants;
Διαρκούν για πολλά χρόνια (5-10) παρέχοντας τη μέγιστη προστασία στα σχολικά χρόνια οπότε και τα δόντια είναι πιο επιρρεπή να χαλάσουν. Φυσικά, η καλή στοματική υγιεινή και η αποφυγή κακών συνηθειών όπως δάγκωμα μολυβιών κλπ, εξασφαλίζουν μακροβιότητα στις προληπτικές εμφράξεις.
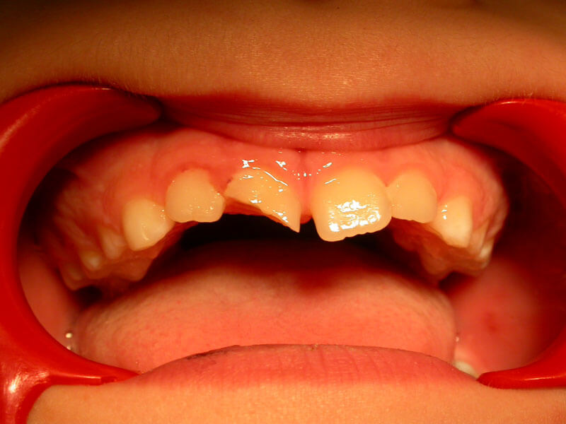
Τί γίνεται με τα σπασμένα νεογιλά ή μόνιμα δόντια;
Υπάρχει συχνά η εσφαλμένη πληροφόρηση ότι η αποκατάσταση των σπασμένων δοντιών είναι θέμα μόνο αισθητικό οπότε μπορεί να αναβληθεί για αργότερα. Άλλοι επίσης πιστεύουν ότι αυτά τα δόντια μπορούν να αποκατασταθούν μόνο με στεφάνες (θήκες). Είναι πολύ σημαντικό να γνωρίζουν οι γονείς ότι τα σπασμένα δόντια πρέπει να αποκαθίστανται με ανασύσταση σύνθετης ρητίνης όσο το δυνατό πιο σύντομα. Η αναβολή της αποκατάστασης ενέχει ένα αυξημένο κίνδυνο νέκρωσης του πολφού που μπορεί να έχει πολύ δυσμενείς συνέπειες στην ανάπτυξη της ρίζας του δοντιού
Τι πρέπει να κάνω αν το παιδί μου χτυπήσει και κάποιο μπροστινό δόντι βγει τελείως από το στόμα;
Είναι πολύ σημαντικό να διατηρήσετε την ψυχραιμία σας. Μετά ψάξτε και βρείτε το δόντι. Μην το κρατάτε από τη ρίζα αλλά από τη μύλη (το εμφανές μέρος του δοντιού).
Προσπαθήστε να το τοποθετήσετε πάλι στη θέση του και να το κρατήσετε εκεί με το δάχτυλο σας. Αν αυτό δεν είναι εφικτό βάλτε το δόντι σε ένα ποτήρι γάλα και πηγαίνετε το παιδί (και το δόντι φυσικά) στον παιδοδοντίατρο όσο γίνεται γρηγορότερα.
Πώς θα βοηθήσω το παιδί μου ώστε να έχει πάντα ένα υγιές όμορφο στόμα;
Ασφάλεια στο παιδοδοντιατρείο
Ακτινογραφίες
Οι ακτινογραφίες λαμβάνονται μόνο όταν είναι απαραίτητες και όχι ως ρουτίνα. Η λήψη γίνεται με την ελάχιστη δυνατή ακτινοβολία (πολλοί παράγοντες ρυθμίζονται για αυτό το σκοπό) και χρησιμοποιείται πάντα ειδική ποδιά μολύβδου για ακτινοπροστασία. Η ακτινολογική εγκατάσταση έχει ελεγχθεί από εξουσιοδοτημένο ακτινοφυσικό για να διασφαλιστεί η ασφάλεια του ασθενούς και του προσωπικού.
Ελαστικός απομονωτήρας
Η «ομπρελίτσα» που φορά στο στόμα ο μικρός ασθενής αυξάνει την άνεση και την ταχύτητα αλλά κυρίως την ασφάλεια. Ο ελαστικός απομονωτήρας θεωρείται βασικός για μια ποιοτική εργασία χωρίς τον κίνδυνο κατάποσης κάποιου μικροεργαλείου.
Απολύμανση – Αποστείρωση
Όλα τα αναλώσιμα υλικά και πολλά εργαλεία που μπαίνουν στο στόμα είναι φυσικά μιας χρήσης.
Τα υπόλοιπα εργαλεία πρώτα πλένονται σχολαστικά με άφθονο νερό και απολυμαντικό σαπούνι. Βουρτσίζονται κατόπιν προσεκτικά με τη χρήση συρμάτινης βούρτσας.
Κατόπιν τοποθετούνται σε ειδικό δοχείο με υγρό απολύμανσης όπου παραμένουν για 1 με 2 ώρες αναλόγως με τις προδιαγραφές του υγρού.
Μετά μεταφέρονται στο λουτρό υπερήχων που απομακρύνει κάθε ίχνος τυχόν ρύπων.
Τελικά στεγνώνονται και τοποθετούνται σε σακουλάκια αποστείρωσης. Τα σακουλάκια με τα εργαλεία τοποθετούνται στο αυτόκαυστο τελευταίας τεχνολογίας (με vacuum) όπου αποστειρώνονται πλήρως.
Σε αυτό το αυτόκαυστο τοποθετούνται για αποστείρωση και άλλα εργαλεία και συσκευές όπως οι διάφορες χειρολαβές, ακροστόμια κλπ.
Γενικοί Κανόνες Υγιεινής
- Τα εργαλεία όπως ήδη αναφέραμε, πριν αποστειρωθούν καθαρίζονται σχολαστικά και εμβαπτίζονται σε ειδικό διάλυμα που εξολοθρεύει όλους τους μικροοργανισμούς και τα σπόρια τους
- Η αποστείρωση όλων των εργαλείων πραγματοποιείται σε αυτόκαυστο (ειδικός κλίβανος) τελευταίας τεχνολογίας
- Τα εργαλεία αποθηκεύονται σε αποστειρωμένες συσκευασίες
- Τα περισσότερα υλικά που χρησιμοποιούνται είναι μιας χρήσεως και απορρίπτονται μετά από κάθε ασθενή
- Το προσωπικό χρησιμοποιεί εξοπλισμό ασφαλείας δηλαδή ποδιά, προστατευτικά γυαλιά (για οδοντίατρο και ασθενή), μάσκα και γάντια μιας χρήσεως
- Όλες οι επιφάνειες εργασίας και τα μηχανήματα μετά από κάθε χρήση ψεκάζονται σχολαστικά με αντιβακτηριδιακό διάλυμα
- Οι σωληνώσεις της αποχέτευσης απολυμαίνονται. Δεν απορρίπτονται στην αποχέτευση βλαβερά για το περιβάλλον υλικά π.χ. υδράργυρος κ.ά.
ΕΠΕΙΓΟΝΤΑ ΠΕΡΙΣΤΑΤΙΚΑ
Εφαρμόστε τους βασικούς κανόνες για επείγοντα περιστατικά όπως τραύματα, εκγομφώσεις, κατάγματα, πόνο ή οίδημα (πρήξιμο) σε κάποιο δόντι ή στο πρόσωπο.





