Έφηβοι

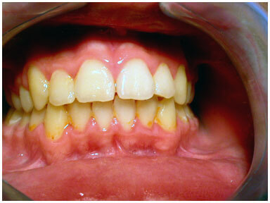
Η εμφάνιση παίζει πρωταρχικό ρόλο στους εφήβους. Η τερηδόνα, η ουλίτιδα, η άσχημη αναπνοή ή τα στραβά δόντια είναι δυνατό να δημιουργήσουν πρόβλημα αυτοεκτίμησης.

Στην εφηβεία αλλάζουν επίσης οι διατροφικές συνήθειες καθώς ο έφηβος τρώει συχνά έξω από το σπίτι του και καταναλώνει σνακ και πολλά αναψυκτικά.

Ο ειδικός οδοντίατρος παρέχει ένα εξειδικευμένο πρόγραμμα προληπτικής οδοντιατρικής και συμβουλές σχετικά με τη διατροφή. Επίσης, θα θεραπεύσει αποτελεσματικά προβλήματα με την αναπνοή και το χρώμα και σχήμα των δοντιών και όταν χρειαστεί θα πληροφορήσει για θέματα όπως το κάπνισμα, οι φρονιμίτες ή οι προληπτικές εμφράξεις (sealants).

Τι είναι οι αθλητικοί στοματικοί νάρθηκες;

Είναι ένα «μασελάκι» από εύκαμπτο πλαστικό υλικό, φτιαγμένο για να εφαρμόζει άνετα στο σχήμα των πάνω δοντιών. Προστατεύει, κυρίως κατά τη διάρκεια του παιχνιδιού και των διαφόρων αθλημάτων τα δόντια, τα ούλα, τα μάγουλα και τη γλώσσα.

Οι νάρθηκες ελαττώνουν σημαντικά τη συχνότητα και τη βαρύτητα των τραυματισμών στο πρόσωπο, ενώ προστατεύουν τα παιδιά από διασείσεις και κατάγματα των γνάθων.