Οδοντιατρικά προβλήματα και λύσεις
Τερηδόνα
Η τερηδόνα είναι νόσος. Πρόκειται για την πιο εξαπλωμένη νόσο στον παγκόσμιο πληθυσμό. Η μικροβιακή οδοντική πλάκα (βιοϋμένας) είναι το κύριο αίτιο των λοιμώξεων των δοντιών και των ιστών που τα συγκρατούν, δηλαδή της τερηδόνας και των περιοδοντικών νοσημάτων αντίστοιχα. Η συσσώρευση της οδοντικής πλάκας και η οργάνωση των μικροβίων σε αποικίες οδηγεί τελικά στην εμφάνιση παθολογικών καταστάσεων στους οδοντικούς και περιοδοντικούς ιστούς.
Τα μικρόβια προσκολλώνται σε επιφάνειες και σχηματίζουν το βιοϋμένα. Στη νόσο τερηδόνα, υπάρχει συνήθως συχνή λήψη υδατανθράκων (γλυκά κλπ) που μεταβολίζονται τελικά σε οξύ. Το pH στην οδοντική πλάκα γίνεται σε επαναλαμβανόμενη βάση όξινο, γεγονός που ευνοεί τα οξεάντοχα μικρόβια, δηλαδή αυτά που καταφέρνουν να επιβιώνουν σε όξινο περιβάλλον (όπως είναι οι στρεπτόκοκκοι και οι γαλακτοβάκιλλοι).
Ευρήματα από όλο τον κόσμο δείχνουν ότι η νόσος τερηδόνα εντοπίζεται σε συγκεκριμένες ομάδες ανθρώπων και μάλιστα προσδιορίσθηκε ότι το 80% περίπου των τερηδονικών βλαβών εμφανίζεται στο 20% του πληθυσμού.
Γ. Ανδρεάδης [από τη διδακτορική διατριβή]
Τρόποι πρόληψης Τερηδόνας
Η τερηδόνα είναι νόσος. Η καλύτερη αντιμετώπιση είναι η πρόληψη.
Σωστό βούρτσισμα με μια παιδική οδοντόβουρτσα και μια παιδική οδοντόκρεμα, αντίστοιχη με την ηλικία του παιδιού
Προσοχή στα πολύ συχνά γεύματα και σνακ
Προσοχή στην υπερβολική λήψη ζάχαρης, γλυκών, ή χυμών-αναψυκτικών
Εφαρμογή προληπτικών μέτρων από τον οδοντίατρο, όπως είναι οι προληπτικές καλύψεις (sealants)
Καθοδήγηση για το πότε και πώς για το οδοντικό νήμα, τα μεσοδόντια βουρτσάκια, το στοματικό διάλυμα
Συμβουλές από τον παιδοδοντίατρο στο παιδί και στο γονέα, σχετικά με την αποφυγή συνηθειών που μπορεί να προκαλέσουν τερηδόνα ή ορθοδοντικά προβλήματα (πιπίλες, μπιμπερό κλπ).
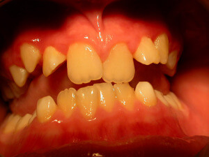
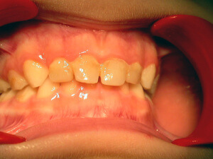
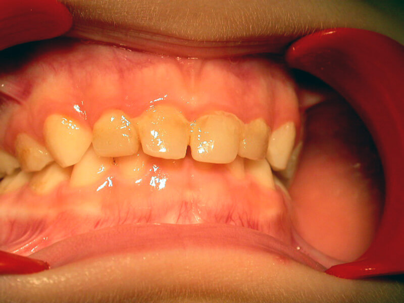
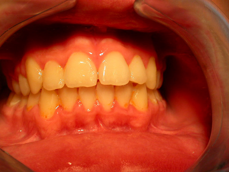
Ουλίτιδα
Η ουλίτιδα οφείλεται, όπως αναφέρθηκε και παραπάνω, στη μικροβιακή πλάκα. Τα κυριότερα προβλήματα είναι αιμορραγία από τα ούλα κατά το βούρτσισμα, κακοσμία και οίδημα (πρήξιμο) των ούλων.
Εκτός από την κακή στοματική υγιεινή, στην εμφάνιση της ουλίτιδας συμβάλλουν και ορμονικές μεταβολές κατά την εφηβεία, ή την εγκυμοσύνη και η παρουσία ορθοδοντικών μηχανισμών στο στόμα που δυσκολεύουν την τήρηση όλων των κανόνων στοματικής υγιεινής.
Τρόποι πρόληψης Ουλίτιδας
Η καλύτερη αντιμετώπιση της ουλίτιδας είναι και πάλι η πρόληψη.
Σωστό βούρτσισμα με μια παιδική οδοντόβουρτσα και μια παιδική οδοντόκρεμα, αντίστοιχη με την ηλικία του παιδιού
Καθοδήγηση για τη χρήση του οδοντικού νήματος, και κατάλληλου στοματικού διαλύματος
Εφαρμογή προληπτικών μέτρων από τον οδοντίατρο, όπως είναι η αποτρύγωση – στίλβωση
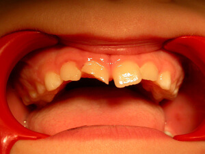
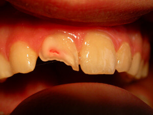
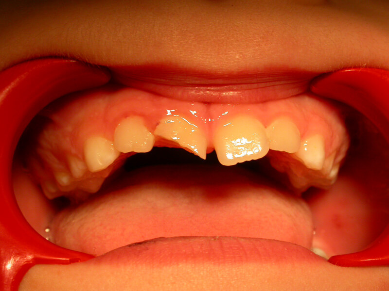
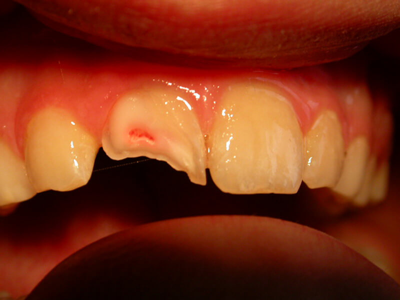
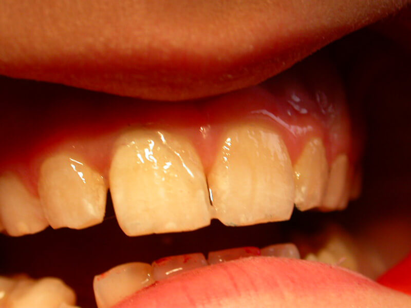
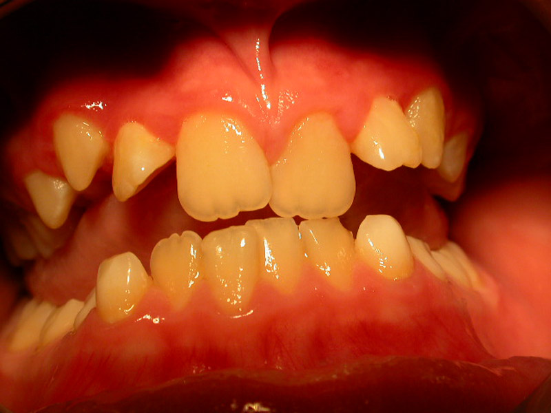
Τραυματισμοί Δοντιών
Οι ποικίλοι τραυματισμοί στα δόντια και στο πρόσωπο, είναι βέβαια μια επείγουσα και σοβαρή κατάσταση που χρειάζεται κατά περίπτωση τραύματος, διαφορετική αντιμετώπιση. Συχνά, ένα δόντι έχει σπάσει, ένα διπλανό έχει μετακινηθεί προς τα πίσω ή προς τα κάτω κι ένα άλλο έχει υποστεί διάσειση. Χρειάζεται λοιπόν εξειδικευμένη και άμεση φροντίδα, προκειμένου να «σωθούν» τα δόντια.
Η πρόληψη εδώ συνίσταται στην εφαρμογή κάποιου αθλητικού νάρθηκα προστασίας, όταν το παιδί συμμετέχει σε κάποιο άθλημα. Εκτός από τα αθλήματα που υπάρχει επαφή όπως το tae kwon do, οι νάρθηκες χρησιμοποιούνται στο μπάσκετ, ποδόσφαιρο, ποδήλατο, σκι κλπ.
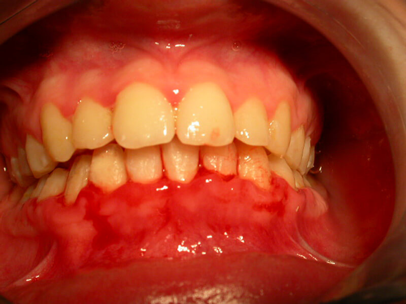
Αισθητικά Προβλήματα
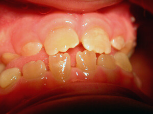
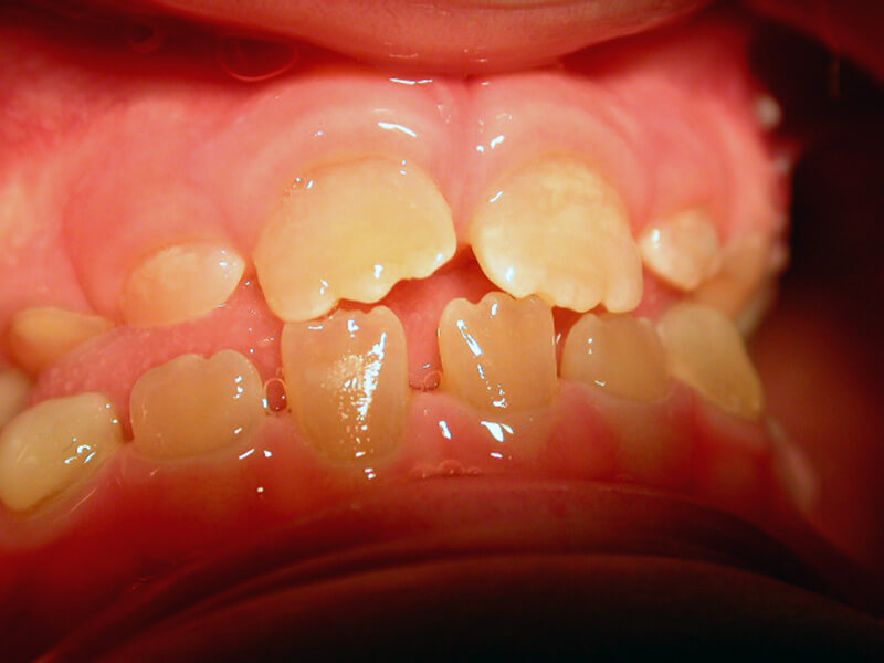
Αισθητικά προβλήματα – εκτός από τα ορθοδοντικά – προκύπτουν και από χρωστικές που επικάθονται στα δόντια. Η χρωστική αυτή πολύ συχνά είναι μαύρη (μελανή χρωστική) και οφείλεται στα λεγόμενα χρωμογόνα μικρόβια. Επίσης, όχι και πολύ σπάνια, υπάρχουν αισθητικά προβλήματα από μη τέλειο σχηματισμό της αδαμαντίνης, πριν ακόμη ανατείλουν τα δόντια (Υπενασβεστίωση τομέων-γομφίων, ατελής αδαμαντινογένεση κλπ).
Προληπτική Ορθοδοντική
Υπάρχουν τρόποι για να προλάβουμε τα ορθοδοντικά προβλήματα και ενδεχομένως να αποφύγουμε τα σιδεράκια. Είναι βασικό να ελέγχονται τα παιδιά μας τακτικά, ώστε να προλαβαίνουμε το συνωστισμό των δοντιών, να διακόπτουμε μια επιβλαβή στοματική συνήθεια και τέλος να κατευθύνουμε ευνοϊκά την ανάπτυξη του προσώπου και των γνάθων.




